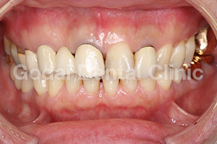
歯が黄色くなってきたのでキレイにしたい
患者様は40代男性、歯がしみるということを主訴に来院されました。知覚過敏の治療を行うと、症状は改善していきました。また患者様は黄色くなってきた歯をキレイにしたいという希望も持たれていました。そこで当院でトータルホワイトニング(オフィスホワイトニング+ホームホワイトニング)を行うことになりました。まず…
続きを読む→
2026.1.22
当院では、患者さんが抱えていらっしゃるお口のお悩みや疑問・不安などにお応えする機会を設けております。どんなことでも構いませんので、私たちにお話ししていただけたらと思います。
ご興味がある方は下記からお問い合わせください。
