大人の矯正歯科

ご予約・お問い合わせ

03-3281-5400

24時間WEB予約(初めての方専用)
キービジュアル
無料相談/セカンドオピニオン対応

マウスピース矯正
ンビザライン

~2つの無料が大好評~
  • 相談「無料
  • 簡易シミュレーション「無料
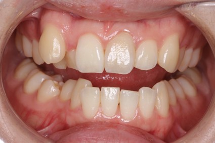
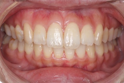
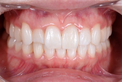
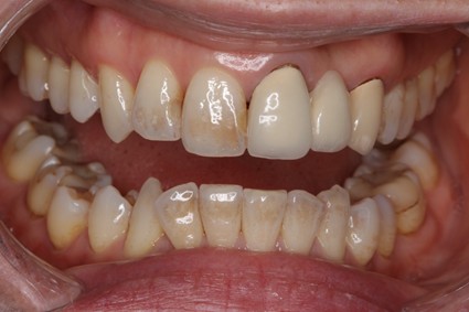
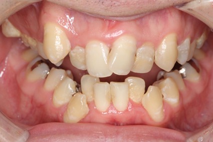
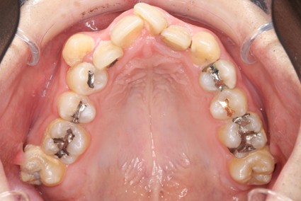
  • 治療前
  • 治療後
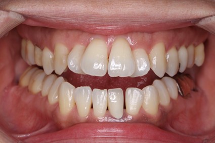
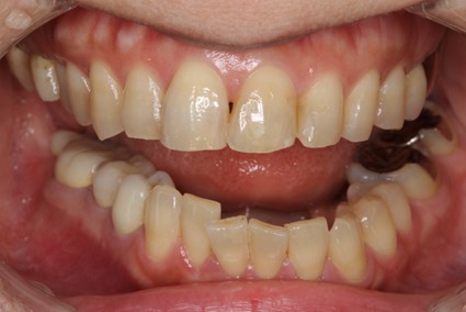
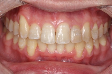
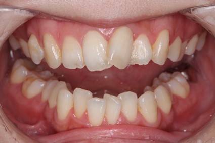
  • 治療前
  • 治療後
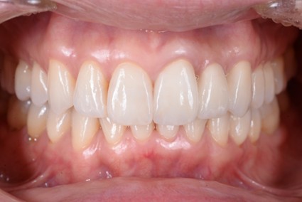
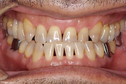
  • 治療前
  • 治療後
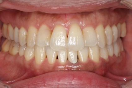
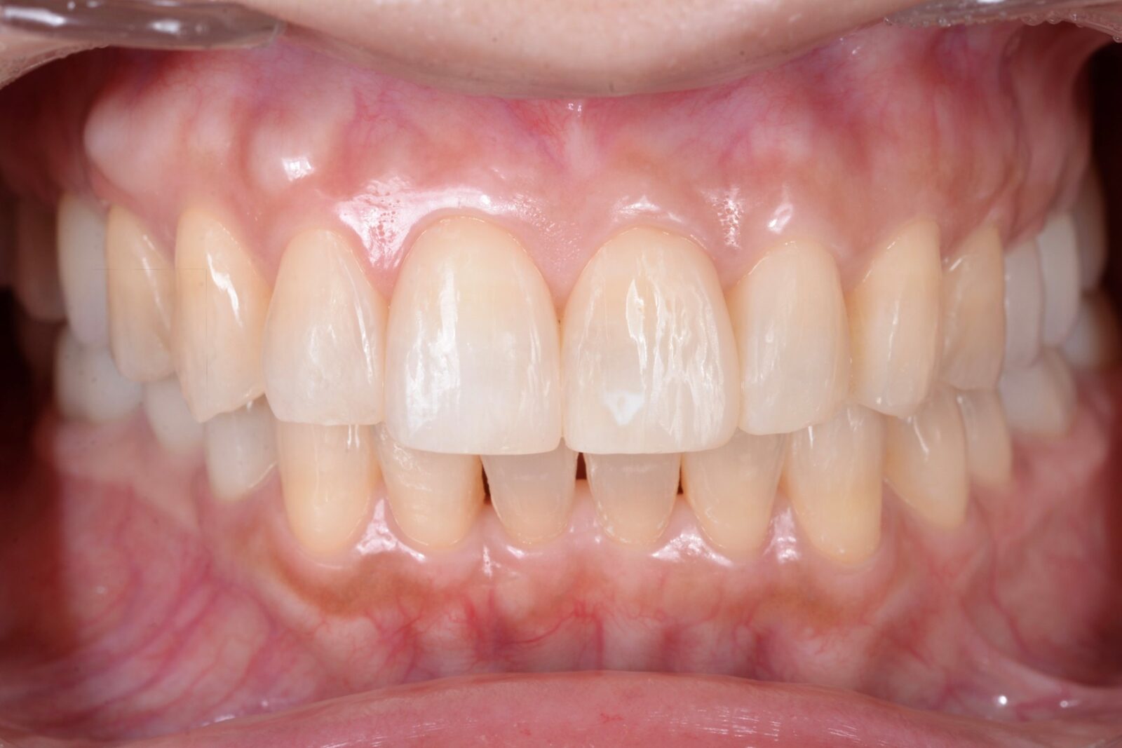
  • 治療前
  • 治療後
  • 治療前
  • 治療後
  • 治療前
  • 治療後
  • 治療前
  • 治療後
  • 治療前
  • 治療後

コラム総合歯科なので「当院だけ」で治療が完結!

多くの歯科医院で行われる矯正治療ですが、実は大きく2つのタイプに分類できます。

・矯正専門医院
矯正治療に特化しており、矯正治療のみ対応する歯科医院

・総合歯科医院
矯正治療だけとどまらず、一般的な歯科治療から専門的な治療まで幅広く対応する歯科医院

それぞれの違いを簡単に表にまとめてみましたので、参考にしてみてください。
専門性
抜歯
むし歯/歯周病治療
1つの医院で完結
矯正専門医院
×
×
×
総合歯科医院(当院)
マウスピース矯正は、取り外しができて目立ちにくい一方で、虫歯や歯周病の管理、抜歯の判断など、お口全体を見た診断力がとても重要な治療です。矯正専門医院では、矯正に特化している分、治療前後や途中でむし歯・歯ぐきのトラブルが見つかった場合、別の歯科医院での対応が必要になることもあります。

その点、総合歯科医院では、マウスピース矯正と並行して、虫歯・歯周病の治療、抜歯、定期的なメンテナンスまですべて一つの医院で対応できます。お口の状態をトータルで把握したうえで矯正計画を立てられるため、治療の安全性やスムーズさにもつながります。

「見た目の美しさだけでなく、将来の歯の健康も大切にしたい」という方に、総合歯科でのマウスピース矯正はおすすめです。

コラム矯正における書籍執筆や講演を行っているDr.が必ず担当!

最近では「他院でマウスピース矯正を行ったが、うまくいかなかった・・・」と、当院に来院される患者さんが増えてきました。マウスピース矯正はワイヤーを利用した矯正よりも歯科医院側の導入ハードルが低いため、矯正治療の経験や学びが不十分な歯科医師しでも治療を開始できてしまいます。

この導入ハードルの低さが、「歯がほぼ動かなかった・・・」「理想の歯並びにならなかった・・・」「4年以上かかっても治療が終わらない・・・」などの問題を生んでいます。

患者さんに強くお伝えしたいことは「多くの実績があり、かつ、しっかりとした症例を提示できる医院で治療を受けてください」ということです。

当院では、歯科医師向けの矯正治療に関しての書籍の執筆や講演を行っている院長が治療を担当します。また、矯正治療の精度を高めるため、次の取り組みも行っています。

Nemo(ネモ)システムによる精密シミュレーション

矯正治療というと、「歯の見た目がきれいに並ぶこと」をイメージされる方が多いと思います。
しかし、歯は表面に見えている部分だけで支えられているわけではなく、歯の根があごの骨の中にしっかりと支えられることで、はじめて安定した歯並びが保たれています。

この「歯の根」に着目した矯正治療は従来もそして今でもあまり行われていません。その場合、どのようなことが起こると思いますか?具体的には、次のリスクが生じます。

✅歯髄壊死、歯根吸収、歯肉退縮
✅噛み合せの悪化
✅思った位置まで歯が動かない
✅矯正後に歯並びが戻りやすくなる

上記のリスクを払しょくするのが「Nemo(ネモ)システム」。歯の見える部分だけでなく、骨の中にある歯の根の位置や向きまで立体的に確認したうえで治療計画を立てます。その結果、無理のない範囲で歯を動かすことができ、仕上がりの美しさと安定性の両立がしやすくなります。

世界シェアNo.1を誇る「インビザライン」を採用

近年、透明で取り外しが可能なマウスピース型矯正装置に対する需要が高まっています。この矯正方法は、以下のような魅力的な特長を持っています。

✅透明で目立ちにくい
✅取り外しができるため、食事や歯磨きがしやすい

当院が行うマウスピース矯正の特長について、ご説明いたします。

特長① メーカーは「世界ブランド」のみ

マウスピース型矯正装置の市場にはさまざまなメーカーが存在し、それぞれの製品には特有の特長があります。選択するメーカーによって、治療の効果、適応症例の範囲、患者さんの満足度に大きな差が生じることがあります。当院では、世界中の多くの歯科医師に信頼され、広く使用されている「インビザラインを採用しております。

インビザライン(世界シェアNO.1)

アメリカのアライン社によって提供される、インビザラインおよびインビザラインGoは、世界100ヶ国以上で採用されており、すでに1800万人以上の方がこの矯正治療を経験しています。その使いやすさから高い評価を受けており、部分矯正から全体矯正まで、幅広い症例に対応できるのがインビザラインの強みです。

特長② 「光学スキャナ」を導入

従来の矯正治療では、粘土のような材料をお口いっぱいに入れて行う「型取り」が一般的でした。この方法は、息苦しさを感じやすく、嘔吐反射が出てしまう方にとって大きな負担でした。また、仕上がりの精度が術者の感覚に左右されやすいという課題もありました。

そこで当院では、iTero(アイテロ)と呼ばれる光学スキャナを使用した型取りを行っています。小型カメラでお口の中をなぞるようにスキャンするだけなので、苦しさや不快感がほとんどなく、短時間で完了します。

さらに、スキャンしたデータはその場で立体的に確認でき、矯正後の歯並びイメージを事前に見ることも可能です。高精度なデジタルデータをもとに治療計画を立てることで、矯正の精度が高まり、安心して治療をスタートしていただけます。

特長③ 「様々な症例」に対応しています

世界中には100社以上のマウスピース型矯正装置を提供するメーカーが存在しています。これらのメーカーの中には、特定の矯正ニーズ、例えば前歯の部分矯正専用の製品を提供しているところもあります。

しかし、当院が採用しているメーカーはそのような制限がありません。患者さんのさまざまな要求に応じた治療が可能ですので、より包括的なアプローチを提供することができます。

特長④ 「抜歯ケース」にも対応

マウスピース矯正は、一般的に抜歯が必要な症例には対応できないとされています。しかし、臨床経験や診断力のある歯科医院では、抜歯ケースでもマウスピース矯正による治療が可能です。他院で「抜歯が必要なのでマウスピース矯正はできません」と言われた方、一度ご相談ください。

注意!治療期間を大幅に短縮させる光加速装置「PBM」

PBM(光加速装置)は、遠赤外線の光を利用した矯正治療の補助装置です。歯ぐき周辺に光を照射することで、歯周組織の細胞の働きをサポートし、歯を支える骨の代謝を活発にするとされています。その結果、歯が動きやすい環境が整い、矯正治療をよりスムーズに進めやすくなることが期待できます。「できるだけ負担を抑えて矯正を進めたい」「治療をスムーズに進めたい」という方は、どうぞお気軽にご相談ください。

「治療期間短縮/非抜歯矯正」のための取り組み

当院では、「治療期間を短縮」する取り組みや「非抜歯矯正を目指す」矯正を行っています。ここでは、「インプラントアンカー」と「ディスキング」についてご説明します。

インプラントアンカー

当院では、歯をより計画的に動かすため、必要に応じてインプラントアンカーを併用しています。インプラントアンカーは、チタン製の小さなネジをあごの骨に固定し、歯を動かす際の安定した支点(固定源)として使用する方法です。これにより、周囲の歯に余計な負担をかけず、狙った歯だけを効率よく動かすことができます。抜歯をせずに矯正が行える可能性が広がり、結果として治療期間の短縮につながることもあります。

ディスキング

ディスキングとは、歯と歯の間のエナメル質をごくわずかに調整し、歯を動かすためのスペースを確保する治療法です。「歯を削る」と聞くと不安に感じる方もいらっしゃいますが、実際に削る量は非常に少なく、歯の形や強度に大きな影響を与えるものではありません。結果的に、抜歯をせずに矯正治療を進められるケースが広がり、治療計画がシンプルになることで治療期間の短縮につながることもあります。

初診「個別」相談へのご案内

当院では、患者さんが抱えていらっしゃるお口のお悩みや疑問・不安などにお応えする機会を設けております。どんなことでも構いませんので、私たちにお話ししていただけたらと思います。
ご興味がある方は下記からお問い合わせください。

24時間WEB予約(初めての方専用)

〒103-0027
東京都中央区日本橋3-11-2-303

東京駅7分/日本橋駅4分/京橋駅5分/
宝町駅5分

このページの先頭に戻る