金属アレルギー/アマルガム除去

ご予約・お問い合わせ

03-3281-5400

24時間WEB予約(初めての方専用)
キービジュアル

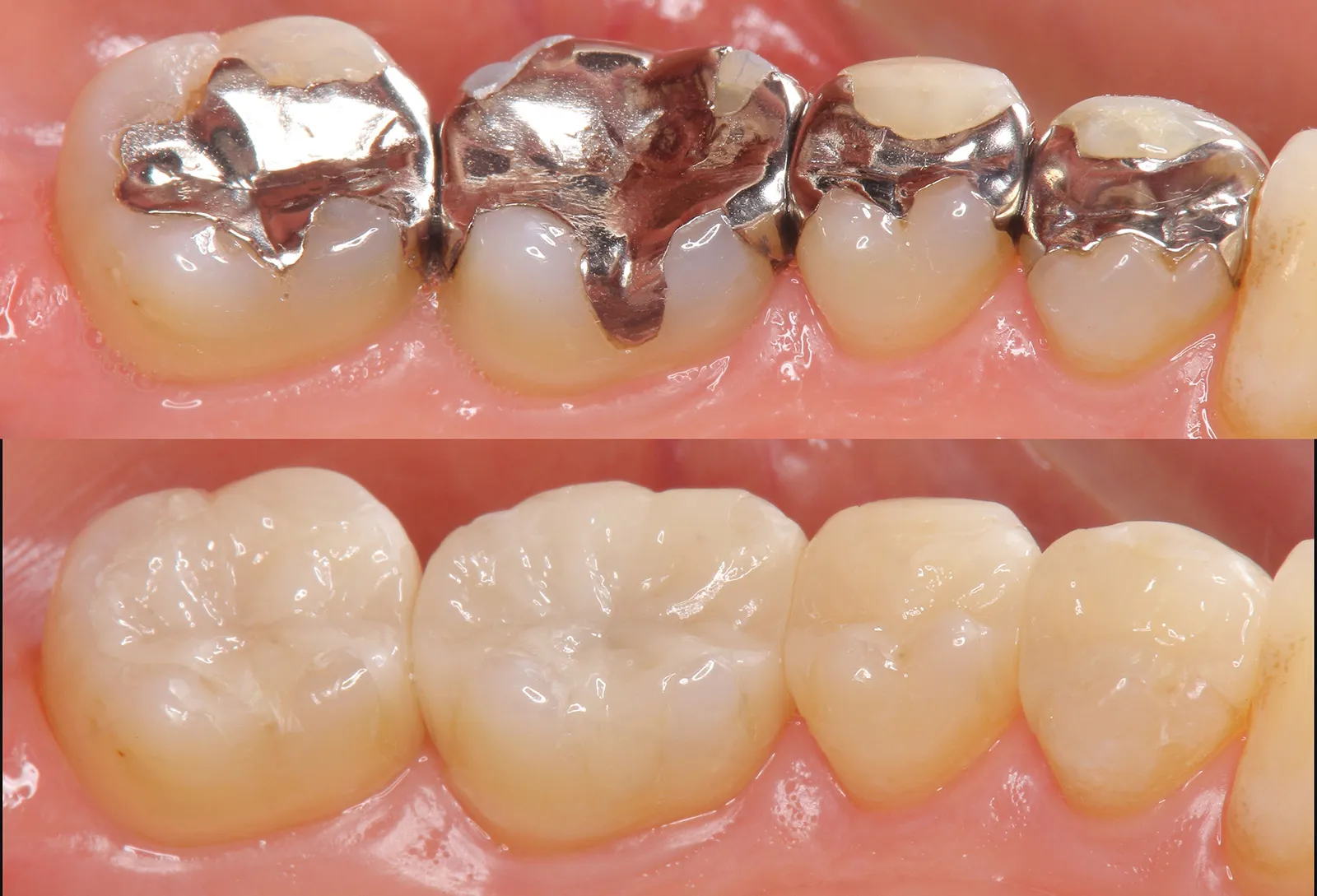
お口の中の銀歯
引き起こす症状とは?

✅原因不明の発疹
✅かゆみ
✅水ぶくれ
✅皮膚の乾燥
✅痛みや灼熱感

金属アレルギーの症状とは??

「なぜか、ずっと治らない」そんな不調を抱えていませんか?

✅口内炎が何度も繰り返す
✅肌荒れやアトピーがなかなか改善しない
✅ネックレスや腕時計で、肌がかぶれやすい

もし一つでも当てはまるなら、金属アレルギーが関係している可能性があります。アクセサリーによる金属アレルギーは比較的気づきやすいものですが、お口の中に使われている金属が原因の場合、見落とされやすいのが特徴です。

詰め物や被せ物などの歯科金属は、毎日・長時間、体の中に触れ続けているため、知らないうちに体へ影響を及ぼしていることがあります。もしお口の中の金属がアレルギーの原因となっている場合、症状は口の中だけにとどまらず、全身に現れることもあります。

たとえば、口内炎・歯ぐきの炎症・唇や舌の違和感といったお口のトラブルだけでなく、アトピー性皮膚炎皮膚のかゆみ扁平苔癬掌蹠膿疱症など、皮膚症状として現れるケースも少なくありません。

いろいろ試したけれど、原因が分からない」「治療しても、なぜか良くならない」そんなときは、金属アレルギーという視点を一度持ってみることも大切です。原因を調べるための検査方法もありますので、症状が長引いている方や心当たりのある方は、お気軽にご相談ください。

当院の「金属アレルギー」治療

STEP1:検査

お口の中の状態や、皮膚のかぶれなどを確認します。

STEP2:皮膚科でアレルギー検査

提携している皮膚科を紹介しますので、アレルギー検査(パッチテスト)を受けていただきます。

STEP3:交換治療

金属アレルギーが認められたら、お口の中の銀歯などを、体質に適した材料と交換する治療を行います。

身体に優しいセラミック歯科素材

歯科治療では、これまで詰め物や被せ物、入れ歯などに金属が使われることが一般的でした。そのため、「歯の治療=金属を使うもの」と思われている方も多いかもしれません。

しかし現在では、金属を使用しない治療法や、金属アレルギーのリスクに配慮したセラミック材料も選べるようになっています。お口の中や体へのやさしさ、将来の安心を考えた素材も複数あります。ここでは、それぞれの特徴や違いについて、分かりやすくご紹介します。

初診「個別」相談へのご案内

当院では、患者さんが抱えていらっしゃるお口のお悩みや疑問・不安などにお応えする機会を設けております。どんなことでも構いませんので、私たちにお話ししていただけたらと思います。
ご興味がある方は下記からお問い合わせください。

24時間WEB予約(初めての方専用)

〒103-0027
東京都中央区日本橋3-11-2-303

東京駅7分/日本橋駅4分/京橋駅5分/
宝町駅5分

このページの先頭に戻る