抜歯を回避する

ご予約・お問い合わせ

03-3281-5400

24時間WEB予約(初めての方専用)
キービジュアル
セカンドオピニオン対応

抜歯宣告」された歯でも
抜かずに残す治療法

✅ひどい虫歯でも残す
✅重度歯周病でも残す
✅歯の根の病気でも残す

  • 治療前
  • 治療後

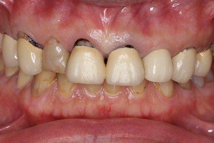
歯を抜歯することは「最後の手段」

この歯はもう抜くしかないですね」そう告げられた瞬間、心の中で大きな不安を感じる方は少なくありません。

確かに、虫歯や歯周病が重度まで進行してしまうと、多くの歯科医院では「抜歯」が選択肢として挙げられます。しかし私たちは、「抜くこと」がゴールではなく、「守ること」こそが歯科医療の使命だと考えています。どんな治療にも限界はありますが、同時に、「まだ残せる可能性」も必ず存在します。

✅重度の虫歯で歯が大きく損傷している場合
✅歯周病で歯がぐらついている場合
✅根の先に膿がたまって炎症を起こしている場合
✅あるいは歯が割れてしまっている場合

多くの医院では「抜歯」と判断されるようなこれらのケースでも、当院では、あらゆる角度から「残す可能性」を探ります。もちろん、すべての歯を救えるわけではありません。それでも私たちは、「どうすれば抜かずに済むか」「どこまで歯の力を引き出せるか」を最後まで諦めずに考えます。

当院には、県がからも「抜歯を避けたい」という想いを持った多くの患者さんが来院されています。歯を守るための知識と技術を駆使し、「抜かずに済む」未来を一緒に目指すことが、私たちの使命です。

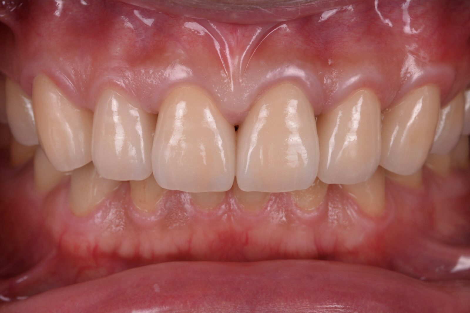
進行した「虫歯」でも、歯を残す治療法

虫歯が深くまで進行して歯が大きく崩れてしまうと、被せ物を支える土台そのものがなくなってしまい、多くの歯科医院では抜歯しかない」と診断されてしまいます。当院ではそんなケースでも「歯を残す道」を諦めません。具体的には、エクストルージョン法や歯冠延長術といった高度な歯科治療技術を用いることで、これまで抜歯と診断された歯の約7割以上を保存することに成功しています。

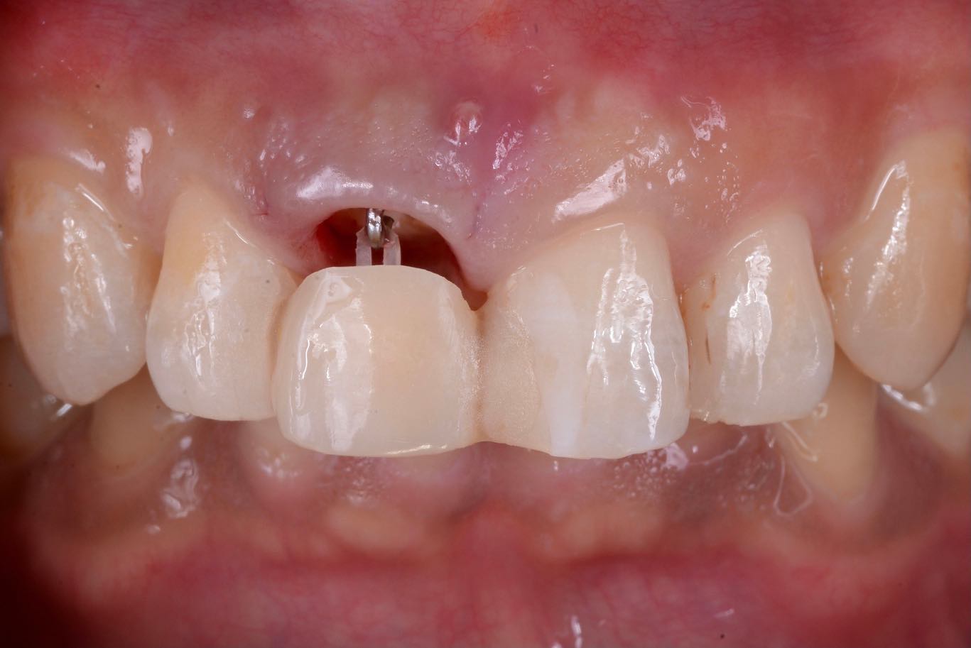
エクストルージョン(歯根挺出術)

エクストルージョン(歯根挺出術)とは矯正治療のひとつで、歯茎に埋もれている「歯の根」を外に引き出して、被せ物を取り付けるスペースを確保する治療法になります。
  • 治療前
  • 治療後

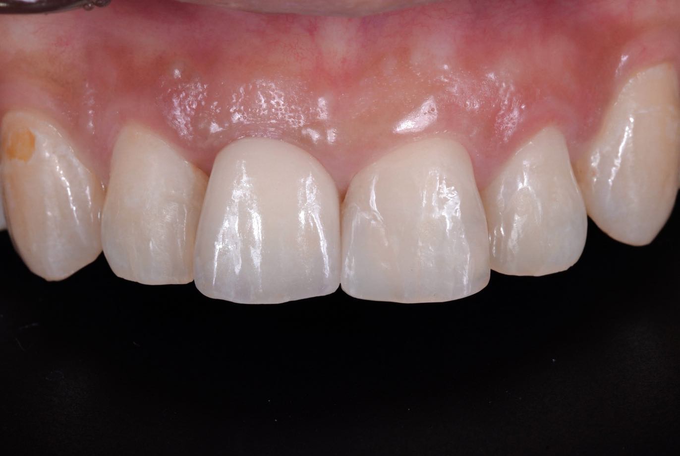
歯冠延長手術(クラウンレングスニング)

先ほどご紹介した「エクストルージョン」は、歯ぐきの中に埋まっている歯の根を少しずつ引き上げ、被せ物を取り付けるためのスペースを確保する方法でした。一方で「歯冠延長手術(しかんえんちょうしゅじゅつ)」は、歯を支えている歯ぐきや骨の一部を外科的に整えて、歯の根の部分を露出させることで、被せ物を装着できるようにする治療法です。

この治療の大きなメリットは、「エクストルージョン」に比べて治療期間が短いという点です。ただし、歯の位置や周囲の歯ぐきの状態によっては、歯肉を切除できず適用が難しいケースもあります。
  • 治療前
  • 治療後

進行した「重度歯周病」の歯を残す治療法

歯周病が進行すると、歯を支えている骨(歯槽骨)が少しずつ溶けていき、やがて歯がぐらつき、不安定な状態になります。このような状態になると、多くの歯科医院では「もう抜歯しかありません」と告げられることが少なくありません。放置すれば歯が自然に抜け落ちてしまう可能性もあります。

このような状態でも失われた骨を再び再生させ、歯を支える力を取り戻すことができる治療法があります。それが、当院で行っている「歯周組織再生療法」です。この治療は、特殊な薬剤や再生材料を使って、歯を支える骨や歯ぐきを再びつくり出すことを目的とした治療法です。骨が再生し、歯が再び安定すれば、「もう抜くしかない」と言われた歯でも、残せる可能性があります。

もちろん、すべての症例で適応できるわけではありません。ですが、可能性がある限り、私たちは歯を守る努力を最後まで諦めません。

失われた歯周組織を回復させる「エムドゲイン」

当院では、「エムドゲイン」を用いた歯周組織再生療法によって、骨の再生を促し、歯を残せる可能性を追求しています。「エムドゲイン」は、もともと歯が生えるときに関係するたんぱく質を含む再生医療用の薬剤で、失われた骨や歯ぐきの組織を再びつくり出す働きがあります。

治療では、歯ぐきを丁寧に切開し、骨が減ってしまった部分にエムドゲインを塗布します。その後、時間の経過とともに骨が少しずつ再生し、数カ月から1年ほどで歯をしっかり支えられる状態に回復していきます。

「歯の根の病気(根尖病巣など)」でも残す治療法

虫歯や感染が原因で神経を取り除く「根管治療」を行うと、その歯には血液が流れなくなります。その状態で、細菌が再び繁殖してしまうと、身体の免疫がその細菌を排除しようと働き、歯の根の周囲に膿(うみ)が溜まり、腫れや痛み、炎症を引き起こすことがあります。

炎症が強い場合には、通常の根管治療では対応しきれず、多くの医院では「抜歯」という判断が下されることも少なくありません。ですが、当院ではそのようなケースでも「歯根端切除術(しこんたんせつじょじゅつ)」という治療法で抜歯を回避することがあります。

この方法では、歯ぐきを小さく切開して根の先端と膿の袋を直接取り除き、感染源を完全に除去します。治療後は自然に骨が再生し、歯が再びしっかりと支えられるようになります。

コラム「歯が割れた場合」の治療にも対応

歯の上部(冠)が割れてしまった場合は、比較的治療は容易です。しかし、「歯の根」が割れてしまった場合は、ほとんどの場合、抜歯の選択がされます。これは当院でも同様です。しかし、割れた歯を抜き、スーパーボンドで接着しもとに戻す「破折歯牙再植」という治療法もありますが、予後が悪いため、当院では行っておりません

しかし、他院で「歯の根の破折」と診断された場合でも、実際は破折していないことが意外と多くありますので、抜歯の選択をする前に、一度、当院で診断をされるのも1つの方法と考えています。

当院では「セカンドオピニオン」にも対応していますので、まずはご相談ください。

初診「個別」相談へのご案内

当院では、患者さんが抱えていらっしゃるお口のお悩みや疑問・不安などにお応えする機会を設けております。どんなことでも構いませんので、私たちにお話ししていただけたらと思います。
ご興味がある方は下記からお問い合わせください。

24時間WEB予約(初めての方専用)

〒103-0027
東京都中央区日本橋3-11-2-303

東京駅7分/日本橋駅4分/京橋駅5分/
宝町駅5分

このページの先頭に戻る