削る量が少ないブリッジ

ご予約・お問い合わせ

03-3281-5400

24時間WEB予約(初めての方専用)
キービジュアル
削りたくない方に朗報!

ってますか?
ほとんど歯を削らない
接着性ブリッジ

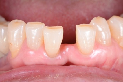
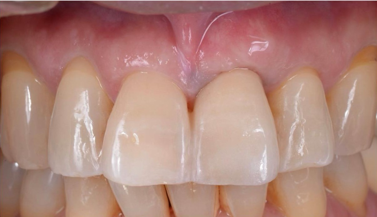
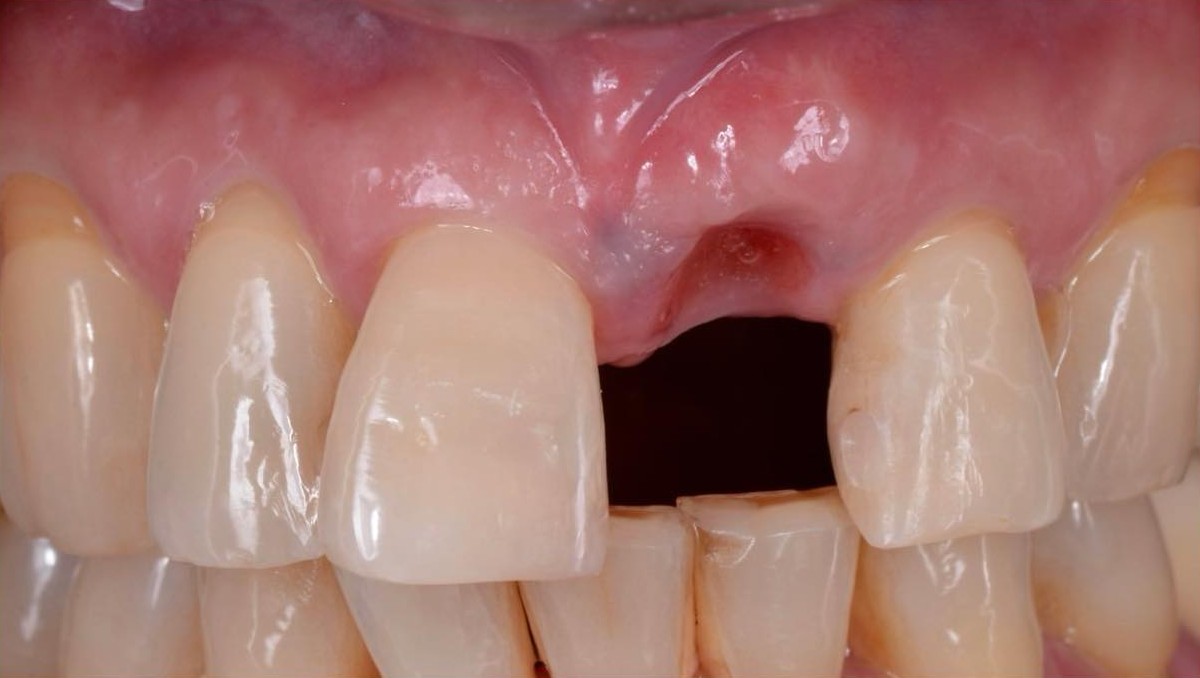
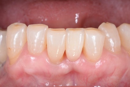
  • 治療前
  • 治療後
  • 治療前
  • 治療後

健康な歯を「ほぼ削らない」ブリッジ治療

健康な歯を削るのが怖い」「できるだけ自分の歯を残したい」。そんな方におすすめなのが、接着ブリッジという治療法です。従来のブリッジ治療では、欠損した歯を補うために、両隣の健康な歯を大きく削って支えにする必要がありました。つまり、1本の歯を失ったために2本の健康な歯に負担をかけてしまうという問題があったのです。

一方、接着ブリッジはほとんど歯を削らずに装着できるのが特徴です。薄い金属やセラミックの「翼」のようなパーツを、隣の歯の裏側に専用の接着剤で固定し、欠損部分を補います。

この方法なら、
✅健康な歯をほとんど削らずに済む
✅歯へのダメージが少なく、歯の寿命を延ばせる
✅治療も短期間で完了し、見た目も自然

という大きなメリットがあります。「できるだけ削らずに歯を守りたい」そんな思いに応える治療法として、接着ブリッジは有効です。

接着ブリッジって何?

もっと具体的に接着ブリッジの特徴をお伝えします。

✅健康な歯をほとんど削らない
歯の表面をわずかに整えるだけ。自分の歯を守れます。
✅神経を残せる
大きく削らないため、歯の神経を取る必要がありません。
✅短期間で完了
通常1〜2回の通院で治療が完了。忙しい方にも最適です。
✅金属アレルギーの心配がほとんどない
セラミック素材を選べば、身体にもやさしい治療が可能です。
✅外科処置が不要
外科処置は伴わないので痛みや腫れの心配がありません。
✅見た目が自然で美しい
装着部分が目立たず、笑ったときも自然な印象です。

一方で、通常のブリッジに比べると外れやすいという特徴もあるため、症例に合わせた丁寧な診断が重要です。次に、一般的なブリッジとの違いを見ていきましょう。
メリット
デメリット
一般的なブリッジ
固定力が強い

健康な歯を削らなければならない
歯の神経を取り除かなければならない場合もある
接着ブリッジ
歯をほとんど削らずに済む
歯の神経が残せる
固定力が弱い

歯科医師からのメッセージ

歯をできるだけ削らずに残したい。この想いは、すべての患者さんに共通する願いだと思います。

「接着ブリッジ」は、その願いを形にする治療法のひとつです。健康な歯をほとんど削らず、見た目も自然で、身体への負担も少ない。歯を“守りながら補う”治療法です。

しかし、歯の状態や噛み合わせ、生活習慣などによって、最適な治療法は人それぞれ異なります。当院では、接着ブリッジだけに限らず、インプラントや入れ歯などの選択肢も含めて、「あなたの歯をできる限り守る」ための最善の方法を一緒に考えます。

「なるべく削らずに治したい」「今の状態をきちんと知りたい」。そう思われた方は、どうぞお気軽にご相談ください。あなたの大切な歯を長く守るために、私たちが誠実にサポートいたします。

初診「個別」相談へのご案内

当院では、患者さんが抱えていらっしゃるお口のお悩みや疑問・不安などにお応えする機会を設けております。どんなことでも構いませんので、私たちにお話ししていただけたらと思います。
ご興味がある方は下記からお問い合わせください。

24時間WEB予約(初めての方専用)

〒103-0027
東京都中央区日本橋3-11-2-303

東京駅7分/日本橋駅4分/京橋駅5分/
宝町駅5分

このページの先頭に戻る