インプラント治療

ご予約・お問い合わせ

03-3281-5400

24時間WEB予約(初めての方専用)
キービジュアル
「無料相談」実施中

患者さん負担を極限まで軽減
MIOインプラント

15年の実績/10年保証
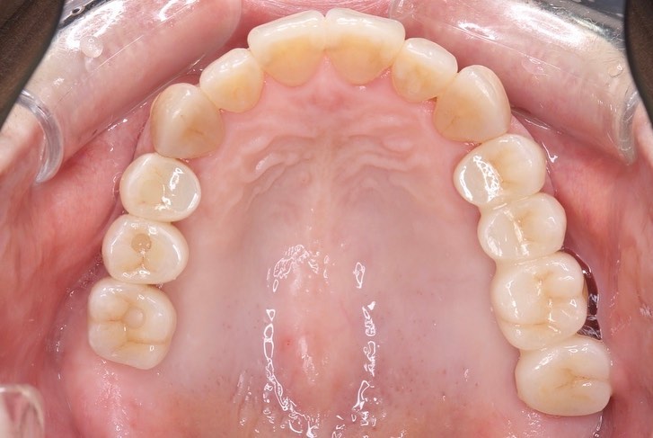
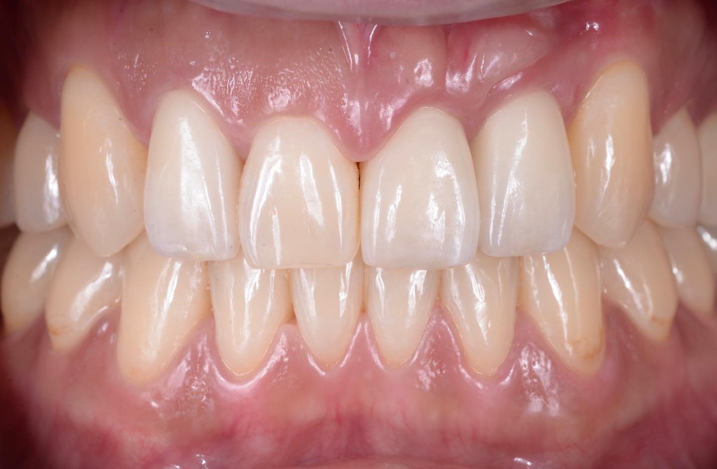
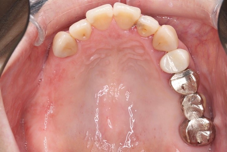
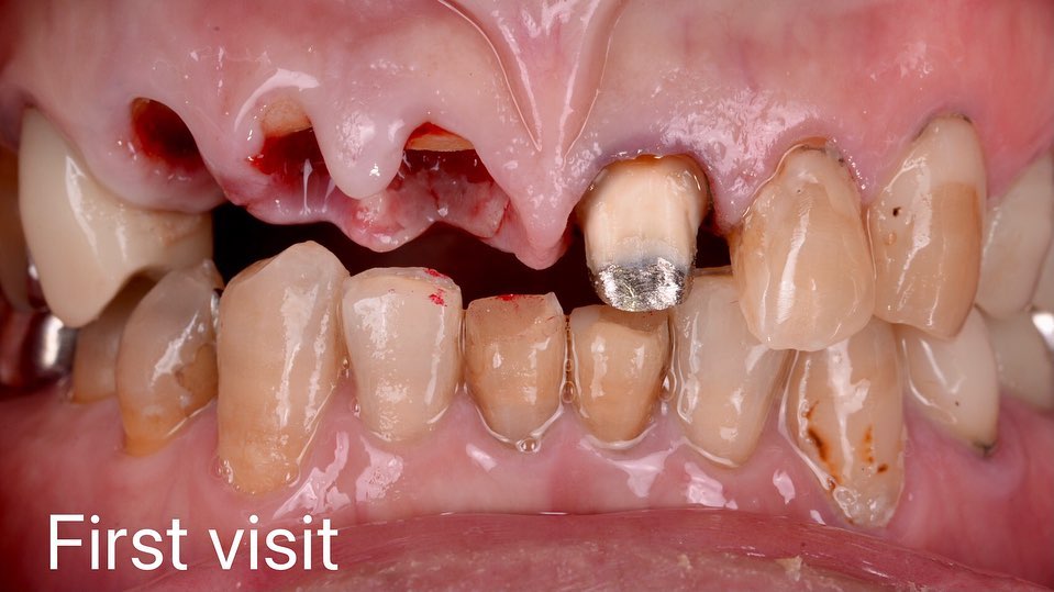
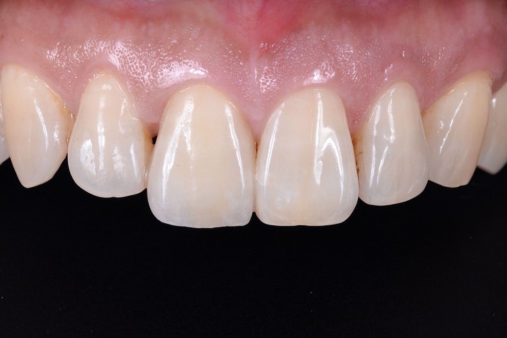
  • 治療前
  • 治療後
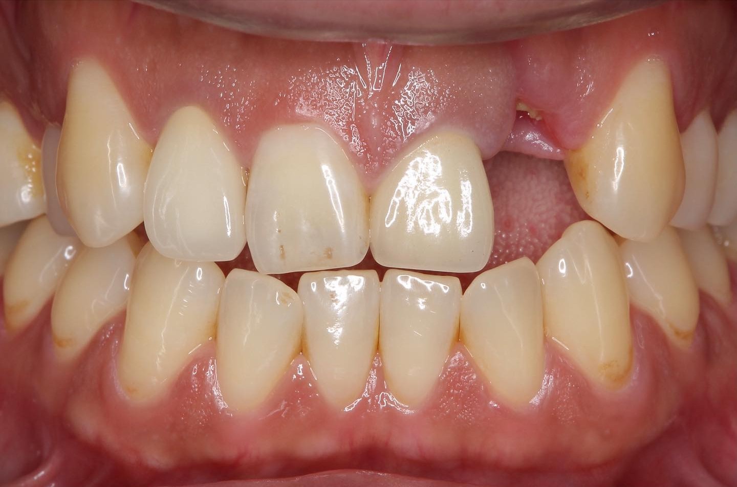
  • 治療前
  • 治療後
  • 治療前
  • 治療後
  • 治療前
  • 治療後

注目!オペが怖い方へ~「睡眠無痛治療」に対応

当院で行うインプラント治療では「睡眠無痛治療(静脈内鎮静法)」を選択いただけます(オプション)。

点滴で鎮静剤を投与するのですが、ほぼ眠っている状態になりますので、治療中の痛みや恐怖心を感じずに治療を終えられます。「気付いたら治療が終わっていた」という感覚です。また、嘔吐反射が強い方にもおすすめの治療方法です。

極限まで患者負担を軽減した「MIOインプラント」

インプラント治療は外科処置が伴い、一般的な歯科治療と比べ、患者さんの負担(肉体的負担、精神的負担、経済的負担)が大きくなる傾向があります。実際、外科処置が怖い、治療期間が長い、歯がない期間があるのが嫌だ、などの理由で、他の治療を選択された方も多いかと思います。

これらの負担を様々な方法で最小限まで抑えたインプラント治療が、当院が掲げる「MIOインプラント」です。MIOとは低侵襲(Minimally Invasive Operation) の略となり、身体への負担を最小限に抑えるという意味があります。

具体的に、当院では次のことを実現させています。

✅治療時間1本10分
✅切らない/縫わない/腫れない術式
✅オペ当日に歯が入る術式
✅骨造成を行わない術式
✅治癒期間の1/2

もちろん、すべてのケースに適応できるわけではありませんが、適応ケースの場合は必ずこの方法を採用します。それぞれご紹介します。

「治療時間」1本10分

インプラント治療において、「経験の差」はそのまま「技術の差」です。多くの症例を手がけてきたドクターほど、正確な判断力と手技の安定性が高まり、手術時間も大幅に短縮されます。一般的なインプラント埋入には30〜40分ほどかかりますが、熟練した術者では10〜15分ほどで完了します。

短時間で手術を終えられるということは、それだけ出血や腫れ、痛みといった患者さんの負担を最小限に抑えられるということ。また、手術中の組織へのダメージが少ないため、術後の回復も早くなります。

当院では、1〜3本のインプラント埋入であればおよそ1時間以内で治療が完了しますので、近隣でお勤めの方は、お昼休みに手術を受けて、そのまま職場へ戻られるケースもあります。精密さとスピードを兼ね備えた治療を、ぜひ一度ご体感ください。

切らない/縫わない/腫れない術式

多くの方が「インプラント手術=痛い・腫れる」と思われています。実際、一般的な手術では歯肉を大きく切開するため、
術後に腫れや痛みが避けられないのがこれまでの常識でした。しかし、当院ではその常識を覆す「フラップレス手術」を導入しています。

この方法は、“切らない・縫わない・腫れない”を実現した、患者負担の極めて少ない新しいインプラント手術法です。メスを使用せず、「歯肉パンチ」と呼ばれる専用の器具でわずか数ミリの小さな穴を開け、そこからインプラントを埋入します。切開を伴わないため、出血・腫れ・痛みが最小限に抑えられ、術後の縫合や抜糸も不要です。多くの患者さんが「こんなに楽だとは思わなかった」と驚かれます。
※症例によっては、切開が必要となる場合もあります。

従来のインプラント治療に不安を感じていた方、ご相談ください。

「オペ当日」に歯が入る術式

通常のインプラント治療では、抜歯後に傷口と骨が完全に治癒するまで数ヶ月待ってからインプラント手術を行います。その間は「歯がない状態」で過ごさなければならず、食事や会話など、日常生活に不便を感じる方も少なくありません。

しかし、当院では「抜歯即時荷重インプラント」という治療法も採用しており、抜歯したその日にインプラントを埋め込み、
その日のうちに「噛める仮歯」を装着できる治療法です。歯ぐきを大きく切開する必要がなく、骨の再形成を待つ期間も不要なため、治療期間を大幅に短縮し、通院回数も少なく済みます。

手術直後から自然な見た目と噛み心地を回復できる術式になります。

※ただし、骨の状態や噛み合わせによっては適用できない場合もあります。

「骨造成」を行わない術式

従来、上顎の骨が薄い場合には、ソケットリフトサイナスリフトといった骨造成(人工的に骨を補う手術)が必要でした。しかし、追加の外科処置となるため患者さんの負担が大きくなり、かつ、治療期間も長くなるものでした。

しかし、メガジェン社の「ワイドショートインプラント」を利用することで、十分な骨量が確保できない症例でも、骨造成を行わずに(ケースによっては骨造成を実施することもあり)インプラントを安定的に埋入できる可能性があります。これにより次のメリットが生まれます。

✅手術時間・治療期間を大幅に短縮できる
✅骨造成による腫れや痛みが出ない
✅費用や通院の負担がなくなる
✅「骨が足りないからインプラントは難しい」と言われた方でも骨造成なしで治療可能

「治癒」期間を1/2に

インプラント治療では、通常「手術後の骨とインプラントの結合」に2〜6か月ほどの治癒期間が必要とされています。この期間を十分に確保しないと、インプラントが骨に安定して定着せず、噛む力に耐えられなくなる可能性があるためです。

しかし、当院が利用するStraumann BLX(ストローマン ビーエルエックス)インプラントは、その常識を変えました。詳細は割愛しますが、独自のダイナミックボディデザインと表面に施されたSLActive®処理によって、血液や骨細胞がインプラント表面に早期に付着し、骨の再生が加速します。結果として、治癒期間を約半分に短縮できるという臨床報告もあります。

「歯学博士/論文多数」の院長が必ずインプラント治療を担当

当院のインプラント担当医をご紹介します。

小林 豊明/歯学博士

小林 豊明/歯学博士

経歴

2009年東京医科歯科大学卒業
2009-2010年東京医科歯科大学第2総合診療科
2010-2011年東京医科歯科大学第1口腔外科
2011-2015年押見歯科診療室(Dr. 押見 一に師事)
2015-2016年米国ペンシルべニア大学(Dr. Markus Blatz に師事)
2016年五大歯科 勤務
2017年〜東京医科歯科大学大学院う蝕制御学分野 2021(卒業年)

資格・所属学会・団体

  • International Academy for Adhesive Dentistry
  • International Association for Dental Research
  • 歯科臨床研修会「一の会」
  • VL会
  • 日本臨床歯科学会 (SJCD)
  • 日本アライナー矯正歯科研究会 (JAAO)
  • サティフィケイト
  • サティフィケイト
  • サティフィケイト
  • サティフィケイト
  • サティフィケイト
  • サティフィケイト
  • サティフィケイト
  • サティフィケイト
  • サティフィケイト
  • サティフィケイト
  • サティフィケイト
  • サティフィケイト
  • サティフィケイト
  • サティフィケイト
  • サティフィケイト
  • サティフィケイト
  • サティフィケイト
  • サティフィケイト
  • サティフィケイト
  • サティフィケイト
  • サティフィケイト
  • サティフィケイト

書籍

  • 書影
  • 書影
  • 書影

大学病院レベルの「環境」があります

インプラントを安全に行うための環境を整えています。それぞれご紹介します。

4・6本のインプラントで歯を支える「オールオン4・6」

オペ室

感染対策を徹底したインプラント専用のオペ室があります。

CT(三次元立体画像撮影装置)

通常の2次元レントゲンよりもより詳細に情報を取得できる「CT」にて必ず診断を行います。

シミュレーションソフト

CTスキャンデータを「シミュレーションソフト」に取り込み徹底的に分析します。この分析により、インプラントの大きさ、最適な挿入位置、そして最適な挿入角度を特定することができます。
そしてシミュレーションデータを「ガイド」というものに落とし込みます。このガイドはインプラントの埋め込む正確な場所、適切な角度、最適な大きさ及び長さを反映させたマウスピース型の装置です。このガイドをお口に装着することで、インプラント体を正確に埋入することができます。当院ではガイド利用率は100%です。

コラム院内に歯科技工士が「常駐」しています

インプラントの人工歯(上部構造)は、「歯科技工士」と呼ばれる専門家が制作します。多くの歯科医院では外部の技工所に依頼しますが、当院では院内に歯科技工士が常駐しているため、すべて院内で制作が可能です。この体制により、患者さんにとって大きなメリットが3つあります。

治療期間を短縮できる

外部に依頼する場合、他医院の制作待ちなどで納期が数日〜数週間かかることがあります。当院では技工士が院内専属のため、すぐに制作・修正が可能。人工歯を最短期間で仕上げられるため、治療期間が短縮されます。

精度の高い仕上がり

人工歯の完成度を高めるには、歯科医師と歯科技工士の緊密な連携が不可欠です。当院では同じ院内でリアルタイムに相談・確認を行えるため、噛み合わせ・形態・色調などの微調整を即座に反映できます。

患者さんの希望をその場で反映

「もう少し白くしたい」「形を少し変えたい」。そんな希望にも即対応できます。歯科技工士が診療に立ち会い、患者さんの要望を直接伺って、その場で微調整を行うことが可能です。再来院を待つ必要がなく、満足度の高い仕上がりを短時間で実現します。

安心の「10年保証」

当院では定期検診・メンテナンスを通じ万全のケアをおこないますが、万一のトラブルの場合、上部構造(セラミックス)の10年保証を行っています。1年以内は100%、2~5年内は50%、6~10年内は20%保証になります。
※保証は3ヶ月に1度の定期検診を受けていただいている患者様に限ります。ただし、経年的にインプラント近心に生じる隙間(修正代:¥33,000)と歯根破折に関しては、対象外とさせていただきます。

インプラントの「セカンドオピニオン」対応

多くの方が、いくつもの歯科医院の説明を聞き、ホームページを見比べながら、最終的に「どこで、どの治療を受けるべきか」で迷われています。最新の設備や症例数だけでは、判断が難しいものです。

本当に大切なのは、その治療を行うドクターの考え方や、患者さんへの向き合い方です。どんなに高度な治療法でも、ドクターがあなたの想いを理解し、最善の方法を一緒に考えてくれなければ、満足のいく結果にはつながりません。

では、どうすれば自分に合った治療を選べるのでしょうか。その答えのひとつが、セカンドオピニオンです。実際にドクターと話をし、現在の治療が本当に適切なのか、他にどんな選択肢があるのかを、客観的な立場から聞いてみる。それによって、治療への不安が軽くなり、納得して前に進むことができます。

当院では、患者さん一人ひとりに寄り添い、「最も納得できる選択」ができるようサポートいたします。

初診「個別」相談へのご案内

当院では、患者さんが抱えていらっしゃるお口のお悩みや疑問・不安などにお応えする機会を設けております。どんなことでも構いませんので、私たちにお話ししていただけたらと思います。
ご興味がある方は下記からお問い合わせください。

24時間WEB予約(初めての方専用)

〒103-0027
東京都中央区日本橋3-11-2-303

東京駅7分/日本橋駅4分/京橋駅5分/
宝町駅5分

このページの先頭に戻る