ボロボロの歯の治療

ご予約・お問い合わせ

03-3281-5400

24時間WEB予約(初めての方専用)
キービジュアル
無料相談/セカンドオピニオン対応

歯がボロボロになるまで
行けなかった理由
聴かせてください

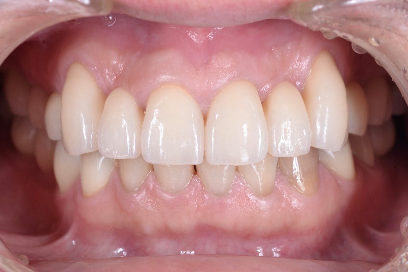
  • 治療前
  • 治療後
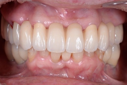
  • 治療前
  • 治療後
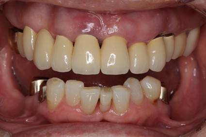
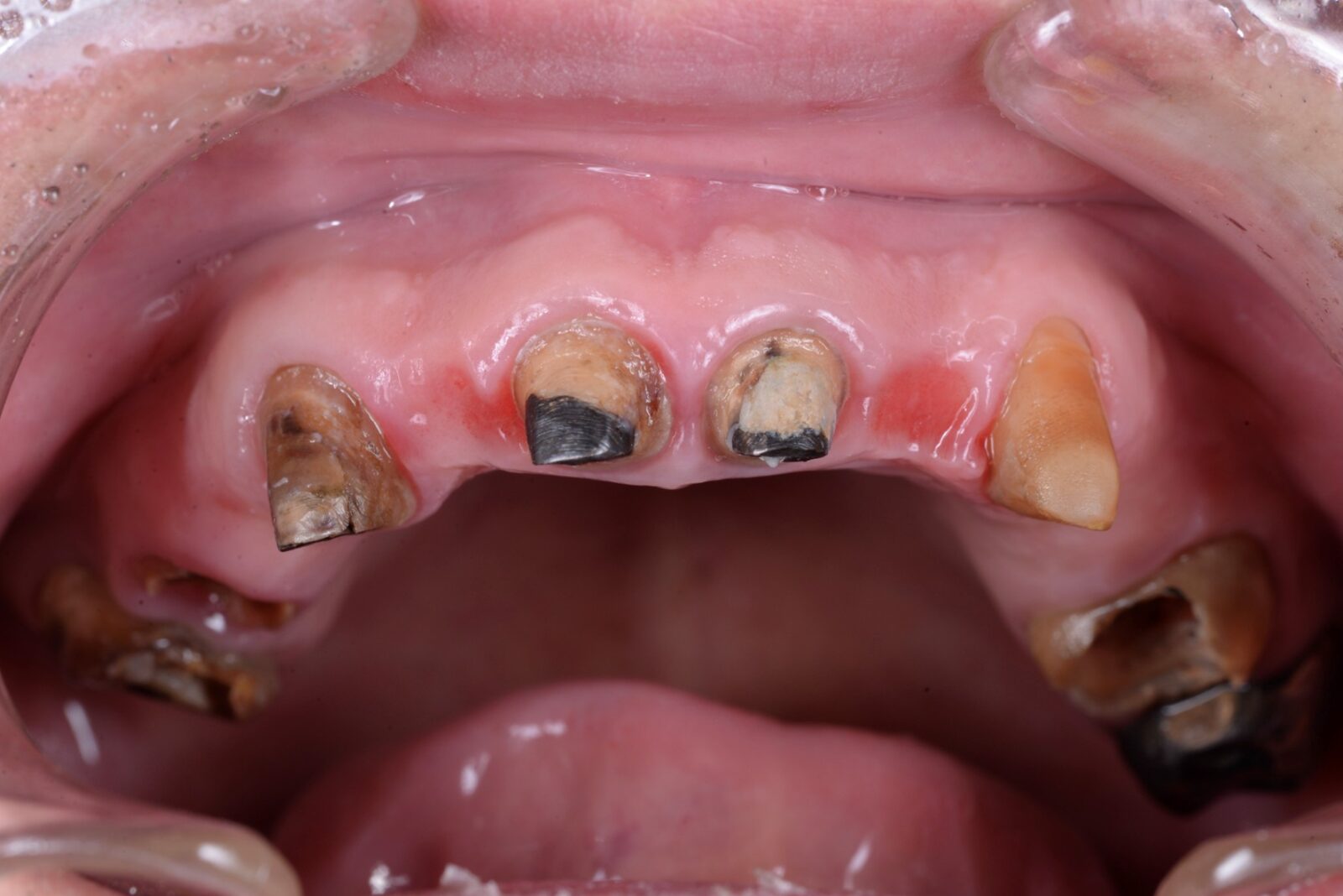
  • 治療前
  • 治療後
  • 治療前
  • 治療後
  • 治療前
  • 治療後

コラム歯科恐怖症の方へ「睡眠無痛治療」

当院では、歯医者が怖い方や過去の治療でつらい経験をされた方のために、「睡眠無痛治療(静脈内鎮静法)」を行っています。この治療は、点滴で鎮静剤を少しずつ投与しながら進める方法です。完全に眠ってしまうわけではありませんが、不安や緊張がやわらぎ、うとうとと半分眠っているようなリラックスした状態になります。そのため、治療中の痛みや不快感をほとんど感じることなく、気づいた頃には治療が終わっている、という感覚の方が多くいらっしゃいます。

治療が怖くて体がこわばってしまう」「音や感覚が苦手」「嘔吐反射が強くてつらい」そうした不安をお持ちの方にも、安心して治療を受けていただけるよう配慮された方法です。無理に我慢する必要はありません。あなたのペースで、できる方法を一緒に選んでいきましょう。

ボロボロの歯でも大丈夫。まずはお話から

歯の状態が悪くなると、見た目だけでなく、日常生活そのものに影響が出てしまうことがあります。実際に、当院には次のようなお悩みを抱えて来院される方が少なくありません。

「人前で思いきり笑えなくなってしまった」
「発音が気になり、会話に自信が持てない」
「食事を心から楽しめなくなった」

お話を伺うと、
本当は歯医者に行きたかったけれど、怖くて行けなかった」という声をよく耳にします。

・強い痛みを我慢したつらい記憶
・十分な説明がないまま進められた治療
・望んでいない高額な治療を勧められた経験

こうした体験があると、歯科医院から足が遠のいてしまうのは、無理もありません。当院では、そのような過去の経験やお気持ちを否定することはありません。まず大切にしているのは、「なぜ今まで来られなかったのか」を理解し、患者さんの不安やペースを尊重することです。

いきなり治療を進めることはありません。お話を伺い、状況を確認し、納得してから次の一歩を一緒に考えていきます。「こんな状態でも相談していいのかな」そう思っている方こそ、安心してお越しください。ここは、責められる場所ではなく、やり直すための場所です。

治療を担当する「歯科医師」の紹介

小林 豊明/歯学博士

小林 豊明/歯学博士

経歴

東京医科歯科大学卒業
東京医科歯科大学第2総合診療科
東京医科歯科大学第1口腔外科
押見歯科診療室(Dr. 押見 一に師事)
米国ペンシルべニア大学(Dr. Markus Blatz に師事)
五大歯科 勤務
東京医科歯科大学大学院う蝕制御学分野 2021(卒業年)

資格・所属学会・団体

  • International Academy for Adhesive Dentistry
  • International Association for Dental Research
  • 歯科臨床研修会「一の会」
  • VL会
  • 日本臨床歯科学会 (SJCD)
  • 日本アライナー矯正歯科研究会 (JAAO)
  • サティフィケイト
  • サティフィケイト
  • サティフィケイト
  • サティフィケイト
  • サティフィケイト
  • サティフィケイト
  • サティフィケイト
  • サティフィケイト
  • サティフィケイト
  • サティフィケイト
  • サティフィケイト
  • サティフィケイト
  • サティフィケイト
  • サティフィケイト
  • サティフィケイト
  • サティフィケイト
  • サティフィケイト
  • サティフィケイト
  • サティフィケイト
  • サティフィケイト
  • サティフィケイト
  • サティフィケイト

書籍

  • 書影
  • 書影
  • 書影

治療時の「痛み」を軽減します

冒頭にお伝えした「睡眠無痛治療(静脈内鎮静法)」の他にも、痛みを抑えるための工夫を行っています。

・2ステップ麻酔法
・睡眠無痛治療(静脈内鎮静法)


これらの治療法について、具体的にご説明します。
  • 表面麻酔

    予め麻酔をする部位に麻酔液を浸透させます。こうすることで、注射時の痛みの軽減につながります。
  • 電動麻酔器

    麻酔液は一定の速度で注入すると痛みを感じにくくなります。そのため、注入速度を電動制御できる電動麻酔器を使用します。
当院では、注射による痛みを最小限に抑えるために、2STEP麻酔法を採用しています。

コラム「5倍速コントラ」で不快な音を軽減

歯医者と聞いて、あのドリルの「キュイーン」という音を思い出し、それだけで緊張してしまう方も多いのではないでしょうか。あの音や振動は、知らず知らずのうちに体に力が入ってしまい、治療への不安やストレスにつながりやすいものです。当院では、そうした不安をできるだけ減らすために、振動や音の少ない「5倍速コントラ」という器具を使用しています。

従来のドリルと比べて、作動音が静かで、振動もやさしいのが特長です。
「思っていたより音が気にならなかった」
「治療中も落ち着いていられた」
そう感じていただけるよう、できる限り刺激を抑えた環境づくりを大切にしています。

来院回数を少なくしたい方へ「短期集中治療」

歯科治療が苦手な方にとって、「何度も通う」「いつ終わるかわからない」という状況は、それだけで大きな負担になります。当院では、そうしたご負担をできる限り減らすために、計画性を重視した「短期集中治療を行っています。
あらかじめ治療の全体像を把握し、必要な処置をまとめて行うことで、通院回数や治療期間を最小限に抑えることを目指します。

「長く通わなくていいなら、治療を始められそう」
「終わりが見えるから、気持ちが楽になる」
そんな声を多くいただいています。

もちろん、無理に進めることはありません。お口の状態や体調、ご希望を大切にしながら、安全性と確実性を確保したうえで行う治療です。以下、当院が短期集中治療を可能にしている具体的な取り組みをご紹介します。

「1回」の治療時間を長く確保

まず、治療を開始する前に精密な治療計画を立てます。この時、どの治療がまとめて行えるのかを明確にします。その後、まとめて行えると判断した治療を一気に行うことで、通常なら数回の通院が必要な工程を一度に短縮することができます。

「精密機器」を最大限に活用

当院では、マイクロスコープ、CTスキャン、光学スキャナ、CAD/CAMといった精密機器を積極的に使用しています。精密機器は人ので手で不可能なことを可能にしてくれるため、治療の精度が大幅に向上し、同時に治療期間の短縮に繋がります。精密機器を利用することで、より迅速かつ効果的な治療が可能となり、患者さんの負担を最小限に抑えることができます。

院内に歯科技工士が「常駐」しています

当院では院内に歯科技工士が常駐しているため、被せ物の制作など、すべて院内で制作が可能です。この体制により患者さんにとって大きなメリットが3つあります。

治療期間がより短縮されます

外部に依頼する場合、他医院の制作待ちなどで納期が数日〜数週間かかることがあります。当院では技工士が院内専属のため、すぐに制作・修正が可能。人工歯を最短期間で仕上げられるため、治療期間が短縮されます。

精度の高い仕上がり

人工歯の完成度を高めるには、歯科医師と歯科技工士の緊密な連携が不可欠です。当院では同じ院内でリアルタイムに相談・確認を行えるため、噛み合わせ・形態・色調などの微調整を即座に反映できます。

患者さんの希望をその場で反映

「もう少し白くしたい」「形を少し変えたい」。そんな希望にも即対応できます。歯科技工士が診療に立ち会い、患者さんの要望を直接伺って、その場で微調整を行うことが可能です。再来院を待つ必要がなく、満足度の高い仕上がりを短時間で実現します。

プライバシーに配慮した「個室」を完備

お口の状態についてのプライバシーは、多くの方にとって非常にデリケートな問題です。そのため、当院では個室の診療室/個室のカウンセリングルームを完備しています。

外部への音漏れを防ぐ構造になっているため、治療や会話が他の方に聞かれる心配がありません。どんなに小さなご相談でも、安心してお話しいただける環境を提供しています。

「納得・理解」があって初めて治療開始となります

当院が何より大切にしているのは、患者さんが不安を抱えたまま治療を受けないことです。

歯の状態がどのようであっても、治療の主役は患者さんご自身です。私たちは、一方的に治療を進めることは決してありません。必要な検査や診断の結果についても、専門用語をできるだけ使わず、「なぜ必要なのか」「どんな選択肢があるのか」を丁寧にお伝えします。

そのうえで、患者さんが心から納得されたときに、はじめて治療をスタートします。理解と同意のない治療は行いません

「どこから手をつければいいかわからない」
「こんな状態でも相談していいのか不安」そんなお気持ちでも大丈夫です。

まずは、あなたの話を聞かせてください。ここは、責められる場所ではなく、一緒に解決策を考える場所です。あなたにとって一番無理のない方法を、私たちが一緒に見つけていきます。

初診「個別」相談へのご案内

当院では、患者さんが抱えていらっしゃるお口のお悩みや疑問・不安などにお応えする機会を設けております。どんなことでも構いませんので、私たちにお話ししていただけたらと思います。
ご興味がある方は下記からお問い合わせください。

24時間WEB予約(初めての方専用)

〒103-0027
東京都中央区日本橋3-11-2-303

東京駅7分/日本橋駅4分/京橋駅5分/
宝町駅5分

このページの先頭に戻る