-
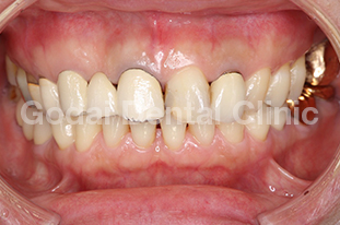
治療前
-
治療後
患者様は50代女性、左上奥歯の被せ物が外れてしまったこと、前歯のセラミックスがかけてしまったことを主訴に来院されました。見た目はもちろんですが、しっかりと奥歯で咬みたいという希望を持っていました。患者様と治療計画を相談し、オールセラミックスとコンポジットレジンで修復する計画を立てました。左上中切歯はまだ天然の歯質が多く残っていたため、オールセラミックスではなくコンポジットレジン修復を選択しました。また右上側切歯は欠損していたため、オールセラミックスのブリッジで治療をして行くことにしました。
できるだけ歯を削る量を少なくすることで歯の寿命を伸ばすことができますし、歯がないところもブリッジをうまく使えば自然な見た目で仕上げることができます。コンポジットレジンの良いところとオールセラミックスの良いところをしっかりと治療計画に反映し、患者様に最適な治療を提供することを常に心がけています。
| 治療内容 | オールセラミックス治療とコンポジットレジン修復 |
| 概算治療費 | 約150万円 |
| 治療期間 | 約1年 |
| セラミックス治療のデメリット | ・歯を削る必要がある ・セラミックスが欠ける可能性がある ・歯肉のラインが下がり見た目が悪くなる可能性がある ・一生持つものではない ・自費診療(保険適用外) |


